17 वर्षीय युवक को मिला नया जीवन फ्लेक्सिबल ब्रान्कोस्कोपी तकनीक का किया सफल प्रयोग
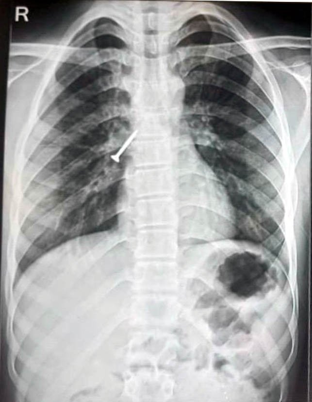
उदयपुर । रवींद्रनाथ टैगोर मेडिकल कॉलेज के अधीन संचालित संभाग के सबसे बड़े टी.बी. एवं चेस्ट अस्पताल, बड़ी के चिकित्सकों ने एक जटिल मामले में 17 वर्षीय युवक की श्वास नली में फंसे 32×4 मिमी के लोहे के स्क्रू को बिना किसी चीर-फाड़ और बिना मरीज को बेहोश किए बाहर निकालने में सफलता हासिल की है। मरीज को 25 अप्रैल को अस्पताल में भर्ती किया गया और स्थिति की गंभीरता को देखते हुए अगले ही दिन 26 अप्रैल को सफलतापूर्वक प्रोसीजर संपन्न किया गया।
सहायक प्रोफेसर डॉ. महेश माहिच ने बताया कि युवक सुथारी का काम करते समय गलती से एक लंबा स्क्रू निगल गया था, जो सीधे उसके दाएं फेफड़े की श्वास नली में जा फंसा। इसके कारण मरीज को लगातार खांसी, छाती में दर्द और बलगम में खून आने की गंभीर समस्या हो गई थी।


इस सफल चिकित्सकीय प्रक्रिया पर आर.एन.टी. मेडिकल कॉलेज के प्रिंसिपल एवं नियंत्रक डॉ. राहुल जैन ने कहा कि बड़ी स्थित टी.बी. एवं चेस्ट अस्पताल द्वारा बिना जनरल एनेस्थीसिया (बेहोशी) और बिना किसी सर्जरी के फ्लेक्सिबल ब्रान्कोस्कोपी के जरिए इस स्क्रू को निकालना चिकित्सकों की उच्च स्तरीय कुशलता को दर्शाता है। आमतौर पर ऐसे मामलों में बड़े ऑपरेशन या रिजिड ब्रान्कोस्कोपी की आवश्यकता होती है, लेकिन हमारी टीम ने मिनिमल इन्वासिव के साथ मरीज को राहत दी है। आर.एन.टी. मेडिकल कॉलेज से संबद्ध अस्पतालों में अब जटिल से जटिल फॉरेन बॉडी रिमूवल की सुविधाएं सुलभ हैं, जो आमजन के लिए राहत की बात है।
सीनियर प्रोफेसर डॉ. महेन्द्र कुमार बैनाड़ा के मार्गदर्शन में टीम ने इस सफल ऑपरेशन को अंजाम दिया। विशेषज्ञों ने बताया कि अक्सर श्वास नली में फंसी वस्तु निकालने के लिए मरीज को बेहोश करना पड़ता है, लेकिन यहाँ टीम ने फ्लेक्सिबल ब्रान्कोस्कोपी का उपयोग कर जोखिम को कम किया और मरीज को त्वरित स्वास्थ्य लाभ प्रदान किया। इस मिशन में डॉ. महेन्द्र कुमार बैनाड़ा, डॉ. महेश माहिच के साथ एस.आर. डॉ. प्रकाश बिश्नोई, डॉ. भावना, डॉ. हेमकरण, डॉ. गोविन्द, डॉ. राहुल, नर्सिंग अधिकारी गीता और ओ.टी. स्टाफ का विशेष योगदान रहा।
